上顎臼歯部骨吸収に対して
サイナスリフトを併用した
インプラント
当院の提案と治療内容
上顎洞底部の骨吸収が進行しており、既存骨量ではインプラント埋入が困難と判断しました。
そのため、サイナスリフト(上顎洞底挙上術)を併用したインプラント治療をご提案。
左上6番・7番部に2本のインプラントを埋入し、最終的にブリッジ形式で補綴する計画としました。
左上6番・7番相当部にインプラントを同時埋入しました。
約6か月のオッセオインテグレーション期間(インプラントと骨を結合させる期間)を経て、印象採得を行い、最終補綴としてジルコニアクラウン(連結タイプ)を装着しました。
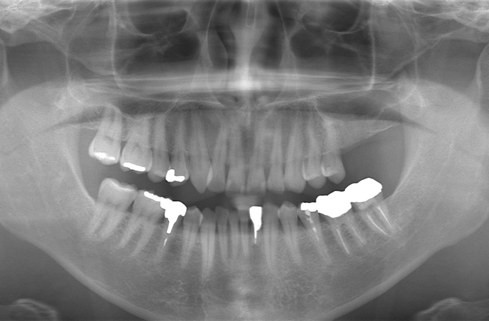
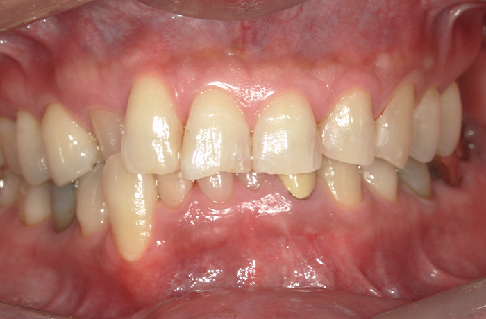
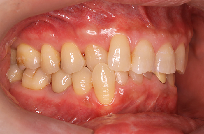
治療前
口腔内写真とレントゲン写真
左上6・7番欠損部は骨吸収が進行し、上顎洞底までの残存骨高径は5mm未満でした。
咬合支持が失われ、対合歯の挺出傾向がありました。
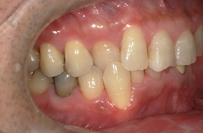
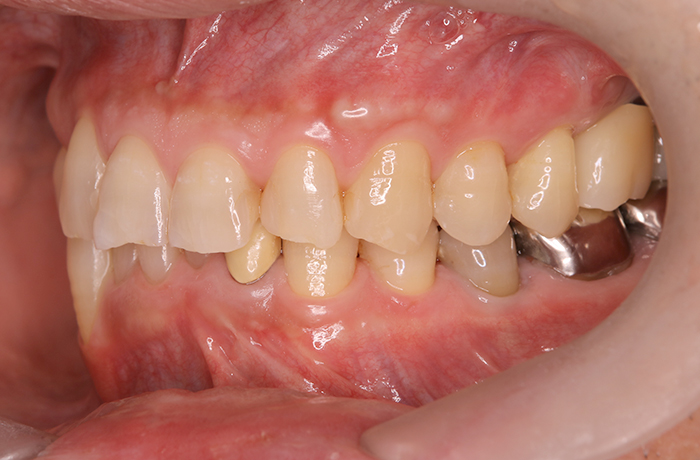
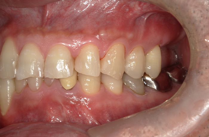
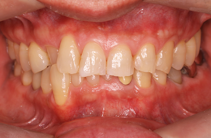
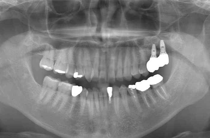
治療後
治療終了後の完成した口腔内と
レントゲン写真
サイナスリフト部の骨再生は良好で、インプラントの安定性も高く、骨吸収や透過像はありませんでした。
最終補綴装着後は咬合バランスが改善し、良好な咀嚼機能が回復。審美性にも優れ、患者様にもご満足いただけました。
治療前後の比較
治療前
治療後
基本情報
| 主訴 | 左上奥歯に違和感と 噛みにくさがある |
|---|---|
| 治療期間 | 約1年 |
| 治療費 | 149万円 |
| 治療に伴うリスク | 術後腫脹・疼痛・上顎洞炎 骨移植材の吸収・感染・排出 インプラントの初期固定 不良・脱落 補綴物の破損・スクリュー 緩み 長期経過における骨吸収や咬合変化 |





