右上側切歯の保存困難歯に対し
抜歯後インプラントで
咬合・審美性
を回復した症例
当院の提案と治療内容
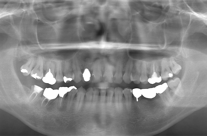
パノラマレントゲンおよびCT撮影により、右上2番(右上中央から2番目の前歯)は歯根周囲の骨吸収が進行し、保存困難歯と判断しました。
抜歯後の治癒を経てインプラントによる補綴再建を提案しました。
右上2番を抜歯し、約5か月間の治癒期間を設けた後にインプラント埋入を実施しました。
埋入後は十分なオッセオインテグレーション期間(インプラントと骨を結合させる期間)を取り、二次手術後に仮歯を装着しました。
形態・歯肉ライン・発音の調和を確認し、最終補綴としてレイヤリングジルコニアクラウンを装着しました。
治療前
口腔内写真とレントゲン写真
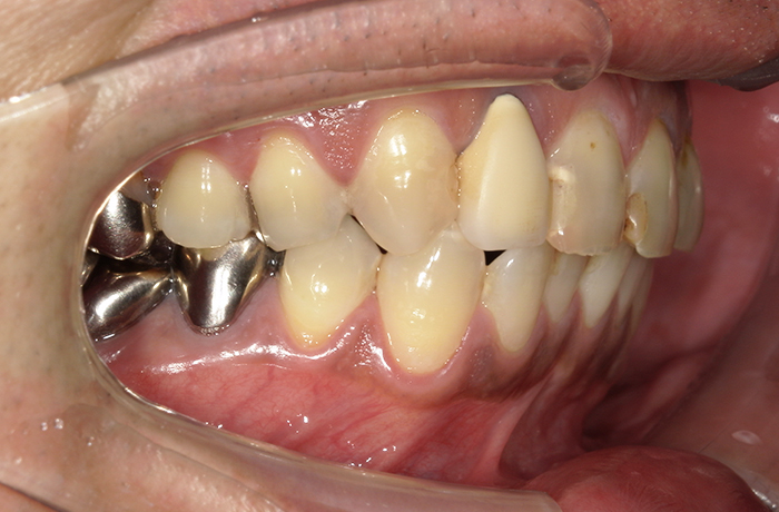
右上2番は骨吸収が進み、動揺と咬合痛を伴っていました。
保存困難な状態であり、審美的にも歯頚ライン(歯の見えている部分と歯肉や顎骨に埋まっている部分の境界)の不調和が見られました。
治療後
治療終了後の完成した口腔内と
レントゲン写真
インプラント周囲の骨レベルは安定し、歯肉の厚みとラインも自然に回復しました。
ジルコニアクラウンにより周囲歯と調和した色調を再現し、審美性と機能性の両立を実現することができました。
治療前後の比較
治療前
治療後
基本情報
| 主訴 | 右上前歯の動揺と違和感が気になる |
|---|---|
| 治療期間 | 約1年 |
| 治療費 | 81万円 |
| 治療に伴うリスク | インプラント部位の感染・腫脹・疼痛 初期固定不良・骨結合不全 |





