多角的アプローチで口腔機能と
審美性を改善した症例
当院の提案と治療内容
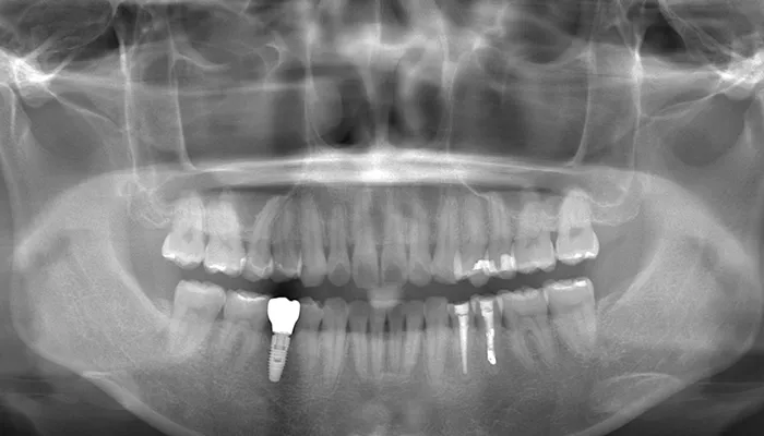
精密検査の結果、右下5番は大きく崩壊しており保存困難歯と判断し、抜歯後のインプラント治療を提案しました。
さらに、上下顎に軽度〜中等度の叢生があり、インビザライン(マウスピース矯正)による歯列改善を併行治療として提案しました。
また、矯正期間中はマウスピースを使用しているため、ホームホワイトニングを併用できるメリットを説明し、審美性の向上を提案しました。
右下5番については保存不可能と判断し、抜歯を行いました。抜歯後は治癒期間を設け、十分な治癒を確認したうえでインプラントを埋入しました。オッセオインテグレーション(インプラントと骨を結合させる期間)の後、最終補綴としてジルコニアクラウンによる上部構造を装着しました。
併せて、歯列全体の叢生改善および歯の位置関係・咬合関係の改善、清掃性の向上を目的としてインビザライン矯正を行いました。治療期間中は、アタッチメントの装着やIPRを行いながら、段階的にアライナーの交換を継続しました。。
また、インビザラインのマウスピースを利用したホームホワイトニングを実施し、矯正治療と並行して歯の色調改善を図りました。
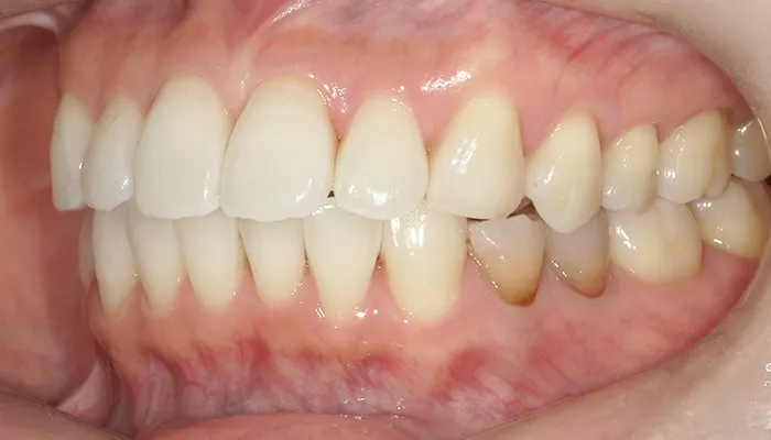
治療前
口腔内写真とレントゲン写真
右下5番は大きく崩壊しており、保存不可能な状態でした。
また、下顎前歯部を中心に叢生があり、歯列が不均一でした。咬合関係が不安定で、清掃性も低下していました。
全体的に歯の色もやや黄みを帯びており、患者様からも審美的な改善希望が強くありました。
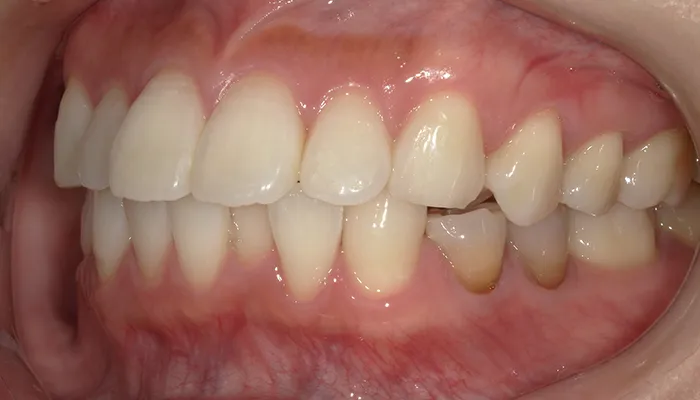
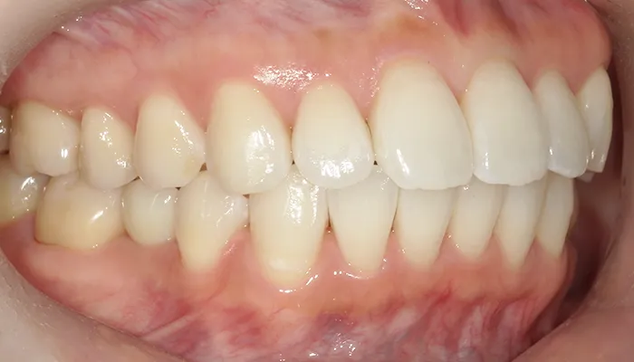
治療後
治療終了後の完成した口腔内と
レントゲン写真
右下5番のインプラントは良好に骨結合し、自然な形態と色調の補綴物を装着しました。
インビザライン矯正により歯列が整い、清掃性・咬合バランスともに改善しました。
ホワイトニングにより歯全体の色調が明るくなり、笑顔の印象が大きく改善しました。
患者様は審美性・機能性ともに大変満足していらっしゃいました。
治療前後の比較
治療前
治療後
基本情報
| 主訴 | 右下の歯が 欠けてきて気になる。 歯並びの デコボコが気になる。 口元の見た目を きれいにしたい。 |
|---|---|
| 治療期間 | 1年半 |
| 治療費 | 【インプラント】 オペ代:33,000円(税込) CT代:22,000円(税込) 麻酔代:66,000円(税込) フィクスチャー (ノーベル/シンプル): 275,000円(税込) アバットメント: 33,000円(税込) 仮歯:16,500円(税込) 上部構造(ジルコニア): 198,000円(税込) 【インビザライン】 インビザラインフル: 935,000円(税込) ビベラリテーナー: 55,000円(税込) 【ホワイトニング】 薬液代: 3,300円(税込)×2本 総額:1,640,100円(税込) |
| 治療に伴うリスク | 【インプラント】 術後腫脹・疼痛・感染 初期固定不良・脱落 長期的な骨吸収 【インビザライン】 歯の動揺、痛み アライナー装着による 発音変化 歯根吸収の可能性 後戻り(リテーナーが必須) 【ホワイトニング】 一時的な知覚過敏 色戻りの可能性 |





