Dr.丸山 症例集

新横浜院副院長
Dr.丸山のインプラント症例

奥歯のインプラント

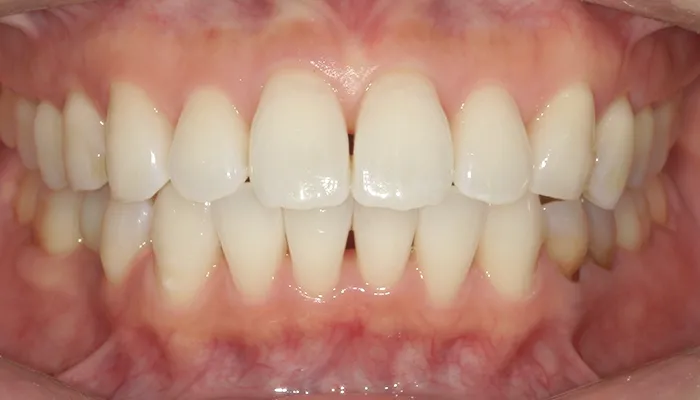
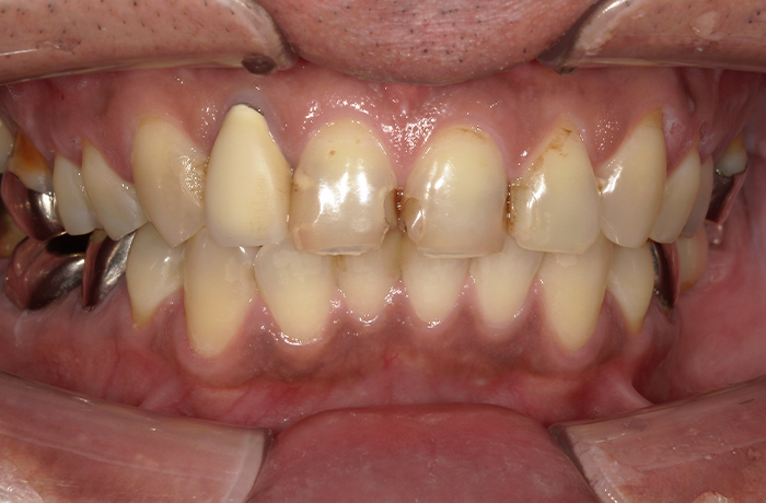
Before

After

この症例を詳しくみる

臼歯部欠損部のインプラント

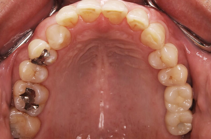
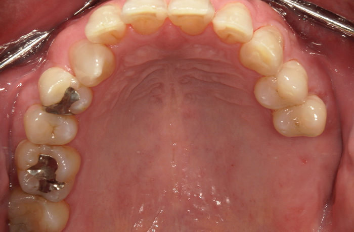
Before

After

この症例を詳しくみる

前歯のインプラント及び
セラミック治療

Before

After

この症例を詳しくみる

前歯の抜歯即時インプラント

Before

After

この症例を詳しくみる

乳歯晩期残存歯に対する
インプラント治療

Before

After

この症例を詳しくみる

上顎臼歯部骨吸収に対して
サイナスリフトを併用した
インプラント

Before

After

この症例を詳しくみる

右上側切歯の保存困難歯に対し
抜歯後インプラントで咬合・審美性
を回復した症例

Before

After

この症例を詳しくみる

多角的アプローチで口腔機能と
審美性を改善した症例

Before

After

この症例を詳しくみる

左上1番の保存困難歯に対する
抜歯即時インプラント症例

Before

After

この症例を詳しくみる

患者様ひとり一人に
最適な治療プラン
痛みに配慮した丁寧な治療
ご提供します

まずは無料相談に
お越しください

お電話のご予約の場合は、
ご希望の医院をお伝えください。

(上大岡・横浜・新横浜・
東戸塚・町田・横浜みなとみらいの
計6院ございます)

インプラント専用のフリーダイヤル
0120-4618-15(シロイハ イコ-)

  • お電話でのご予約・ご相談はこちら 0120-4618-15
  • WEBで無料相談のご予約はこちら 24時間受付中

S Group Branch Information エス歯科グループ院

【今月限定】無料カウンセリング実施中!

トップへ戻る